Unidade privada com cuidados de saúde inovadores e de excelência

  • Uma equipa médica conceituada;
  • Uma abordagem global com consulta, meios de diagnóstico e recuperação física;
  • Um espaço amplo e agradável;
  • Acesso fácil e estacionamento acessível.

Marque já a sua consulta
de forma fácil e rápida

    urgentenão urgente

    Dor Coluna Vertebral e os possíveis tratamentos

    Estenose de Canal

    • 6 de Julho, 2019

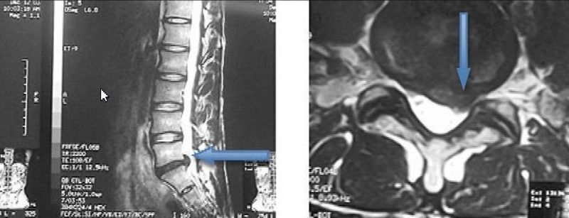
    Estenose de Canal

    A Estenose é uma doença degenerativa da coluna vertebral que consiste no estreitamento do espaço do canal vertebral. Na coluna cervical e na dorsal, a estenose pode causar compressão medular, associada ou não à compressão radicular. Na coluna lombar, pode causar compressão de uma ou mais raízes da cauda equina. A Estenose pode ser congênita ou adquirida. A forma congênita geralmente ocorre mais precocemente, já a adquirida pode resultar de doenças degenerativas, de outras doenças (como a doença de Paget) ou de traumas da coluna. Enquanto para algumas pessoas a Estenose pode ser assintomática, para outras pode provocar incapacidade de andar. Os sintomas mais comuns são dores nas costas, nádegas e pernas. Também podem ocorrer dormência e fraquezas nas extremidades inferiores.

    Tratamento
    O tratamento inicial da estenose inclui: a reeducação postural e o uso de analgésicos e antiinflamatórios. A administração de corticosteróides também pode ser eficaz para melhorar os sintomas. A radiofrequência lombar pode ser uma opção. A intervenção cirúrgica é recomendada quando a dor não pode ser controlada, afetando a qualidade de vida do paciente