Marque já a sua consulta
de forma fácil e rápida
Quando o síndrome do túnel carpico se agrava os pacientes recorrem à cirurgia como o seu último recurso. No entanto existem opções não cirúrgicas para este problema.
O túnel cárpico é uma estrutura em forma de túnel no punho que o nervo mediano percorre. Existem também ligamentos do carpo que formam o teto do túnel e tendões flexores que também percorrem o túnel.
O nervo mediano é um ramo que tem origem no plexo braquial da coluna cervical no pescoço. Estende-se através do braço, do pulso e até ao polegar.
Os tendões flexores fornecem estabilidade e ajudam a dobrar o polegar e os dedos.
Quando algo faz com que o túnel se estreite ou o nervo mediano de alguma forma fique comprimido no pulso, isso pode levar ao síndrome do túnel do carpico (STC).
O STC pode ser muito desconfortável e os sintomas são bastante característicos , incluindo formigueiro, queimadura ou dormência no polegar; fraqueza muscular na base do polegar; dor ou desconforto com o movimento.
O médico provavelmente recomendará em primeiro lugar tratamentos conservadores – preparando, alterando o posicionamento repetitivo, fisioterapia etc.
Para dor e inchaço, pode-se recomendar anti-inflamatórios não-esteróides (AINEs), como ibuprofeno ou naproxeno, embora haja efeitos colaterais com os AINEs, como o risco de problemas cardíacos, hemorragia gastrointestinal, danos renais aumento da tensão arterial e muito mais.
Por isso é melhor evitar esses medicamentos ou não os fazer durante muito tempo.
A cirúrgia para STC é chamada de libertação do túnel do carpo, mas para libertar as estruturas comprimidas, o cirurgião corta o ligamento que compõe o teto do túnel do carpo para criar mais espaço no túnel para o nervo e os tendões.
O ligamento está lá por uma razão, que é estabilizar os pequenos ossos do carpo no pulso e ancorar os músculos da mão.
Com esse ligamento do carpo seccionado, cria- se instabilidade e fraqueza no punho, deixando o punho vulnerável à artrite e a outros problemas no futuro.
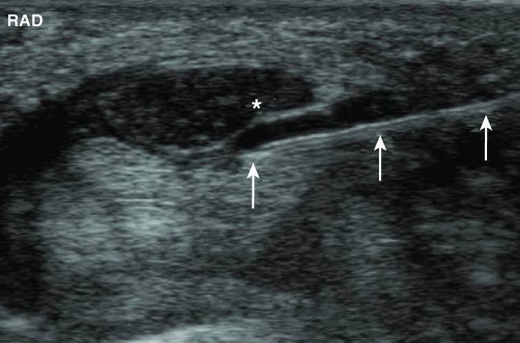
Ultrasons túnel carpico
A hidrodissecação do nervo com plasma rico em plaquetas para a síndrome do túnel do carpo não envolve o corte do ligamento, nem envolve uma cirurgia aberta e invasiva.
O plasma rico em plaquetas contém fatores de crescimento concentrados a partir das próprias plaquetas do paciente e é injectado em redor do nervo.
Na nossa experiência, isso liberta o nervo comprimido, reduz a inflamação e melhora o fluxo sanguíneo para a área – tudo isto sem prejudicar a delicada biomecânica do pulso, que é inevitável com a cirurgia de libertação do túnel do cárpico.
Poderá também ler o artigo Síndrome Túnel Cárpico no nosso Blog e/ou solicitar mais informações sobre este tema através dos contactos da Paincare